Tumores uroteliales
Existen dos lesiones precursoras diferenciadas del carcinoma urotelial invasivo: tumores papilares no invasivos y carcinoma urotelial plano no invasivo. Las mas frecuentes son los tumores papilares no invasivos, que se originan a partir de la hiperplasia papilar urotelial. El carcinoma urotelial plano no invasivo se denomina carcinoma in situ. Estas lesiones se consideran de alto grado. En la mitad de los sujetos con cáncer de vejiga invasivo el tumor ya ha infiltrado la pared vesical en el momento de presentación y no se pueden detectar las lesiones precursoras. La invasión de la lamina propia empeora el pronostico, pero el motivo fundamental de la reducción de la supervivencia es la invasión de la musculas propia ( el musculo detrusor)
Clasificación según la OMS/ International Society of Urological Pathology
- papiloma urotelial
- neoplasia urotelial de bajo potencial maligno
- carcinoma urotelial papilar, de bajo grado
- carcinoma urotelial papilar, de alto grado
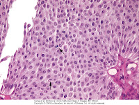
Morfología
Las lesiones papilares aparecen como excrecencias rojas elevadas de tamaño variable. La mayoría de los tumores papilares son de bajo grado y surgen de la paredes lateral o posterior de la base de la vejiga.- Los papilomas representan el 1% o menos de los tumores de vejiga y afectan principalmente a los jóvenes. Algunos surgen aislados como estructuras pequeñas delicadas unidad superficialmente a la mucosa por un tallo, son papilomas exofiticos. Cada papiloma individual digitiforme tiene un eje central constituido por un tejido fibrovascular laxo cubierto por epitelio que histológicamente idéntico al urotelio normal. Los papilomas invertidos son lesiones benignas que se curan mediante la resección y consisten en cordones anastomosados entre si constituidos citologicamente por un urotelio anodino que se extiende hasta llegar a la lamina propia.
- Las neoplasias uroteliales papilares de bajo potencial maligno, poseen un urotelio mas grueso o el aumento de tamaño difuso del núcleo. las figuras mitóticas son raras. Pueden recidivar con la misma morfología, no se asocian a invasión y solo en raras ocasiones recidivan como tumores de lato grado asociados a invasión y progresión.
- Los carcinomas papilares de bajo grado, tienen aspecto ordenado tanto en su arquitectura como de la citologia. Las células están homogeneamente distribuidas y unidad entre si. Hay indicios mínimos de atipia nuclear, figuras mitóticas infrecuentes. Pueden recidivar e invadir infrecuentemente
- Los canceres uroteliales papilares de alto grado contienen células que pueden mostrar uniones imperfectas y núcleos hipercromaticos grandes. Es frecuente encontrar figuras mitóticas, atípicas: Existe una desorganización y perdida de polaridad. Tienen mayor incidencia de invasión de la capa muscular, y un gran potencial metastásico.
Los tumores agresivos se pueden extender no solo hacia la pared vesical si no en estadios mas avanzados pueden invadir la próstata, vesículas seminales ureteres y retroperitoneo. Puede producirse una diseminación hematógena hacia el hígado, pulmones y médula osea.- El carcinoma in situ, presenta células citologicamente malignas dentro del urotelio plano. Varia desde una atipía de todo el espesor a células malignas dispersas en un urotelio que normal (diseminación pagetoide). Hay ausencia de cohesividad, lo que facilita la diseminación hacia la orina. Aparece macroscopicamente como un área de enrojecimiento, granularidad o engrosamiento de la mucosa sin una masa intraluminal evidente. Normalmente es multifocal extendiéndose también a los uréteres u uretra. Mas del 50% pueden progresar a un cáncer que invade la muscular.
- El cáncer urotelial invasivo se puede asociar a un cáncer papilar urotelial, normalmente de alto grado o con un carcinoma in situ. La extensión de la invasión en la muscular de la mucosa tiene importancia pronostica. La extensión de la diseminación en el momento del diagnostico inicial es el factor mas importante que condiciona la evolución. Casi todos son de alto grado.

- Variante del carcinoma urotelial, son la variante anidada con una citologia engañosamente anodida, el carcinoma de tipo linfoepitelioma y el carcinoma micropapilar.
Estadificacion patologia T (tumor primario)
Ta no invasivo, papilar
Tis carcinoma in situ
T1 invasión de la lamina propia
T2 invasión de la muscular propia
T3a invasión extravesical microscópica
T3b invasión extravesical macroscopicamente evidente
T4 invade las estructuras adyacente
- Los Carcinoma epidermoides se asocian prácticamente siempre a una irritación e infección crónica de la vejiga
- Los carcinomas uroteliales mixtos con áreas de carcinoma epidermoide, son mas frecuentes. La mayoría son tumores invasivos fungoides o infiltrantes y ulcerados. El grado de diferenciación citologica es muy variable.
- Los adenocarcinomas de vejiga son raros. Algunos se originan sobre los restos del uraco o se asocian a una metaplasia intestinal extensa
- Los carcinomas microciticos, surgen a menudo en la vejiga asociados a un carcinoma urotelial, epidermoide o adenocarcinoma.
Factores predisponentes:
-tabaquismo, aumente el riesgo entre tres y siete veces
-exposición industrial a arilaminas (aparecen entre 15 y 40 años después de la primera exposición)
-el uso de analgésicos a largo plazo
-la exposición importante a largo plazo a ciclofosfamida, un fármaco inmunosupresor
-exposición previa de la vejiga a irradiación.
Se han observado alteraciones genéticas en el carcinoma uroterial. Frecuentemente se encuentran la monosomia del cromosoma 9 o las deleciones 9p y 9q asi como las deleciones 17p 13q 11p 14q.
Curso clínico: Producen clasicamente hematuria indolora. La polaquiuria, tenesmo y la disuria suelen acompañarla. Cuando se afecta el orificio ureteral, puede producirse despues una pielonefritis o hidronefritis.
Los pacientes suelen desarrollar tumores nuevos despues de la resección y las recidivas muestran un grado mas alto. Esto esta relacionado con algunas variables como el tamano, estadio, grado o multifocalidad del tumor, la presencia de displasia o carcinoma in situ asociado en la mucosa circundante.
Tumores mesenquimatosos
Tumores benignos. El mas frecuente es el leiomioma. Tienden a crecer como masas aisladas, intramurales y encapsuladas de forma ovalada o esférica y con un diámetro que puede alcanzar varios centímetros.
Sarcomas. Son infrecuentes, tienden a producir grandes masas que hacen protución en la luz vesical. Su aspecto macroscópico blando, carnoso y blanco grisáceo sugiere su naturaleza sarcomatosa. El mas frecuentes en los adultos es el leiomiosarcoma, en lactantes es el rabdomiosarcoma embrionario.
Tumores secundarios
La afectación maligna secundaria de la vejiga es consecuencia de la extensión directa de las lesiones primarias en los órganos cercanos, cuello uterino, útero, próstata y recto.

Casino Roll
ResponderEliminarJoin Casino Roll bsjeon.net Online goyangfc.com Casino Roll 바카라 사이트 2021 ford escape titanium